Se rendre au contenu

Cursus Implantologie 360

IMPLANTOLOGIE 360° VISION GLOBALE : TECHNIQUE, PATIENT, ÉQUIPE

Starts
Europe/Paris
Ends
Europe/Paris
Add to calendar:

Formation certifiante en implantologie dentaire complète

Vision globale : technique, patient, équipe

Partenaire principal : Anthogyr

Présentation du cursus – Vision 360° Orosanté

Le Cursus Implantologie 360° d’Orosanté est une formation immersive, humaine et concrète qui permet à chaque participant de maîtriser le geste chirurgical tout en structurant son organisation clinique.

Le programme repose sur trois lieux d’excellence :

  • Usine et centre de formation Anthogyr à Sallanches : compréhension des systèmes implantaires.

  • Horizon Care Academy à Grésy-sur-Aix : travaux pratiques et planification numérique.

  • Clinique Orosanté : immersions en chirurgie live.

Cette approche “360°” associe rigueur scientifique, expérience clinique et pédagogie moderne pour former la nouvelle génération de praticiens en implantologie dentaire.

Informations pratiques

Lieux et dates

  • Module 1 – E-learning DPC : Plateforme Odontoform (préparation théorique)

  • Module 2 – Anthogyr Sallanches : 26 & 27 mars 2026

  • Modules 3 & 4 – Centre Orosanté, Grésy-sur-Aix : 18 & 19 juin / 24 & 25 septembre 2026

  • Module 5 – Immersion personnalisée, Centre Orosanté : dates flexibles selon les participants

Durée de la formation

4 modules présentiels de 2 jours + 1 module e-learning, soit 75 heures certifiées RCP.

Tarif et inscription

  • Tarif : 6 000 € TTC (5 000 € HT)

    Matériel, déjeuners, activités et dîner convivial inclus.

  • Capacité : 25 chirurgiens-dentistes + 25 assistantes dentaires

  • Clôture des inscriptions : 27 février 2026

  • Contact :

Intervenants et équipe encadrante

  • Dr Vincent Gaillard – Réhabilitations complexes & implantologie avancée

  • Dr João Pasdeloup – Parodontologie & médecine intégrative

  • Dr Manon Borie – Recherche et tissus mous péri-implantaires

  • Assistantes référentes : Magalie Perrissoud et Julie Giraud

Objectifs pédagogiques

  • Acquérir et perfectionner les fondamentaux chirurgicaux et prothétiques en implantologie.

  • Fiabiliser sa pratique grâce à un parcours structuré :

    • du diagnostic clinique au digital,

    • de la gestion tissulaire osseuse et mucogingivale à la prothèse,

    • de la chirurgie live à l’organisation d’équipe.

  • Développer une vision 360° intégrant clinique, communication et coordination au cabinet.

Public concerné

Formation destinée aux chirurgiens-dentistes et assistantes dentaires souhaitant :

  • Vivre une expérience complète en implantologie.

  • Consolider leurs bases cliniques, chirurgicales et organisationnelles.

  • Approfondir leur maîtrise du travail en duo praticien/assistant(e).

Pré-requis : aucun.

Programme complet du cursus

Module 1 – E-learning (Odontoform)

L’essentiel, l’ABC pratique du chirurgien averti

Introduction théorique, anatomie, planification et protocoles chirurgicaux.

Module 2 – Anthogyr (Sallanches)

Implant unitaire et multiples simples : du projet à la réalité

Planification implantaire, chirurgie en direct, stratégies thérapeutiques, accastillage prothétique.

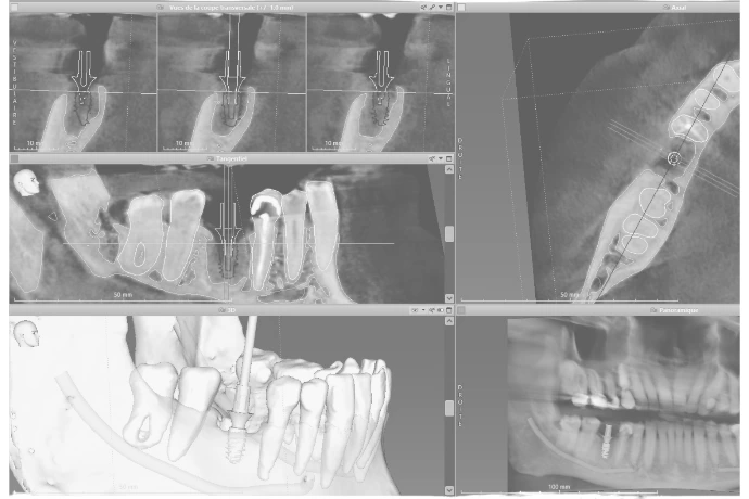
Travaux pratiques : planification (CoDiagnostix) - pose d’implants à main levée et guidée sur différents designs.

Module 3 – Centre Orosanté & Horizon Care Academy (Grésy-sur-Aix)

Optimisation des tissus autour des implants

Préservation alvéolaire, régénération osseuse simple et optimisation mucogingivale.

TP : lambeaux, greffes conjonctives et épithélio-conjonctives sur mâchoires animales, ROG péri-implantaire.

Module 4 – Centre Orosanté (Grésy-sur-Aix)

L’implantologie simple, passer le pas

Formation immersive et chirurgies live.

Module assistant(e)s :

  • Ergonomie du travail à 4 ou 6 mains.

  • Communication patient.

  • Gestion du matériel et de la salle d’opération.

Module 5 – Immersion personnalisée

Observation directe et participation duo praticien/assistante en chirurgie live.

Possibilité d’intervenir sur vos patients dans un cadre sécurisant.

Expérience participant

  • Immersion clinique au cœur du Centre Orosanté

  • Formation à Horizon Care Academy

  • Visite de l’usine Anthogyr à Sallanches.

  • Hébergement et restauration partenaires : Folie Douce Chamonix et Grand Hôtel du Parc Aix-les-Bains.

  • Activités bien-être et networking : spa, trail, dîner convivial.

Moyens techniques

Implants Anthogyr, moteurs chirurgicaux, PC avec CodiagnostiX, caméras d’empreinte 3Shape et Straumann, trousses chirurgicales multi-level, modèles pédagogiques, instruments de microchirurgie, membranes collagéniques, xénogreffes et pins.


Je m'inscris/Réserver ma place