Se rendre au contenu

Osez le Rose (3 jours)

Chirurgie plastique péri-implantaire & paro

Starts
Europe/Paris
Ends
Europe/Paris
Add to calendar:

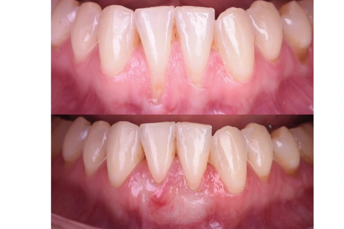
La formation Osez le Rose d’Orosanté est une masterclass immersive et 100 % clinique dédiée à la chirurgie plastique péri-implantaire et parodontale.

Conçue pour les praticiens exigeants, elle associe esthétique, biologie et technique chirurgicale pour maîtriser les tissus mous et obtenir des résultats durables et harmonieux.

Chaque participant est accompagné pas à pas pour transformer la chirurgie muco-gingivale en un véritable levier esthétique et fonctionnel, grâce à une approche progressive, pragmatique et immédiatement applicable.

Philosophie de la formation

Osez le Rose, c’est apprendre à maîtriser la partie la plus exigeante de la chirurgie orale : le tissu mou.

Le cursus alterne théorie, pratique et chirurgie live pour permettre à chaque praticien d’évoluer dans sa prise de décision, sa précision gestuelle et sa stratégie clinique.

L’objectif : oser la minutie, oser l’excellence, et enfin voir la chirurgie en rose.

Informations pratiques

Lieu et dates

Centre Orosanté et Horizon Care Academy – Grésy-sur-Aix (Savoie)

3 au 5 juin 2026

3 jours d’alternance entre théorie, pratique et immersion clinique.

Tarif et capacité

2 880 € TTC (2 400 € HT)

Matériel, déjeuners, activités et dîner convivial inclus.

Capacité : 30 participants

Inscription

📧 contact@orosante.fr

☎️ +33 (0)4 58 39 00 25

Clôture des inscriptions : 15 avril 2026

Intervenants

  • Dr Manon Borie – Spécialiste en tissus mous péri-implantaires et muco-gingival

  • Dr Vincent Gaillard – Expert en implantologie et réhabilitations esthétiques

Objectifs pédagogiques

  • Intégrer les connaissances essentielles pour choisir la technique adaptée à chaque situation clinique.

  • Approfondir les techniques de chirurgie plastique péri-implantaire et parodontale.

  • Comprendre la gestion des tissus mous pour un résultat esthétique et fonctionnel prévisible.

  • Acquérir une maîtrise des lambeaux et des sutures.

  • Découvrir les techniques de microchirurgie et développer la minutie du geste chirurgical.

Public concerné

Cette formation s’adresse aux chirurgiens-dentistesimplantologistes et omnipraticiens souhaitant perfectionner leurs compétences en chirurgie muco-gingivale et en gestion esthétique des tissus mous.

Pré-requis : aucun.

Programme détaillé

Jour 1 – Fondamentaux & gestes clés

Maîtriser les bases de la chirurgie muco-gingivale et les prélèvements.

  • Arbre décisionnel et choix des techniques selon les indications cliniques

  • Les différents prélèvements de conjonctif

  • Protection palatine

  • Techniques de greffe épithélio-conjonctive : situations cliniques et vidéos

  • Techniques de déplacé coronaire simple et bilaminaire : situations cliniques et vidéos

    Travaux pratiques : prélèvement, déplacé coronaire, greffe gingivale libre sur modèle animal

Jour 2 – Tunnelisation & chirurgie live

Gestion des tissus mous par la technique de tunnelisation.

  • Principes et indications du tunnel

  • Préparation des dents et reconstruction des collets

  • Technique du tunnel : situations cliniques et vidéos

  • Chirurgie live commentée

    Travaux pratiques : réalisation du tunnel sur modèle animal

Jour 3 – Chirurgie plastique péri-implantaire

Gestion des situations complexes et perfectionnement esthétique.

  • Les fondamentaux des tissus péri-implantaires

  • Stratégies mucogingivales autour des implants : timing et profils d’émergence

  • Techniques abordées : lambeaux, greffes gingivales péri-implantaires, rouleau, greffe de tissu conjonctif (CTG).

  • Cas complexes et combinaisons de techniques

  • Erreurs fréquentes, suites postopératoires et synthèse des protocoles cliniques

    Travaux pratiques : Mesh, greffe gingivale libre et greffe conjonctif autour des implants sur modèle animal

Expérience participant

  • Formation au cœur du Centre Orosanté.

  • Immersion chirurgicale “over the shoulder” : observation directe en bloc opératoire.

  • Hébergements partenaires : Grand Hôtel du Parc et Château Brachet.

  • Activités bien-être et networking : spa, trail, dîner convivial et échanges entre pairs.

Moyens techniques

Modèles animaux, implants, moteurs et contre-angles, champs de protection, gants, blouses, masques, microlames, sutures et cassette de microchirurgie.

S'inscrire